Kardiologie und Pneumologie
In unserer Abteilung für Kardiologie und Pneumologie behandeln wir das gesamte Spektrum der Erkrankungen des Herzens, der Lunge und des Kreislaufsystems. Durch den Einsatz modernster interventioneller Techniken in unseren Herzkatheterlaboren stellen wir eine zeitnahe und präzise Diagnostik sowie Therapie sicher. Unser Ziel ist eine leitliniengerechte medizinische Versorgung, die individuell auf die Bedürfnisse unserer Patientinnen und Patienten abgestimmt ist und dabei höchste fachliche Standards mit einer engagierten pflegerischen Betreuung verbindet.
Unsere Patientinnen und Patienten werden fachkompetent auf unseren spezialisierten Normalstationen sowie bei schwerwiegenden Krankheitsbildern auf unserer interdisziplinären Intensivstation, Intermediate Care (IMC) oder Chest Pain Unit betreut. Die enge Zusammenarbeit innerhalb unserer Fachbereiche ermöglicht dabei eine ganzheitliche Behandlung komplexer Krankheitsbilder unter einem Dach.
Seit Anfang 2026 ist das Klinikum Freising zudem als Cardiac Arrest Center zertifiziert und erfüllt damit alle bundesweiten Qualitätsstandards für die Versorgung von Patientinnen und Patienten nach einem Herzkreislaufstillstand.
Offizielle Auszeichnung: Das Klinikum Freising erfüllt als zertifiziertes Cardiac Arrest Center alle bundesweiten Qualitätsstandards für die Herzstillstand-Versorgung
Unser Leistungsspektrum - am Puls der Zeit
Kardiologische und pulmologische Funktionsdiagnostik
Nicht invasive Diagnostik
- EKG, Langzeit-EKG, Langzeit-Blutdruck, Schellong-Test, Kipptisch-Untersuchung
- Ergometrie und Stress-Echokardiographie
- Transthorakale und transösophagiale Echokardiographie (inkl. Kontrastmittel)
- Lungenfunktion mit Spiroergometrie
- Nachsorge aller gängigen Schrittmacher und Defibrillatoren
Invasive Diagnostik in zwei Herzkatheterlaboren
- hämodynamische Evaluation epikardialer Coronarstenosen (RFR, FFR)
- Evaluation der microvaskulären Funktion (Coroventis, ACH-Test)
- Rechtsherzkatheter
- Intracoronare Bildgebung (IVUS, OCT)
- Plaquemodifikation (Cutting - Ballon, IVL, Rotablation)
- definitive Versorgung von Koronarstenosen (DES, DEB)
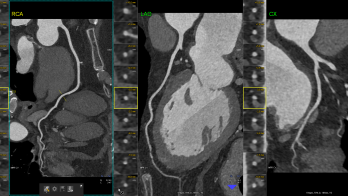
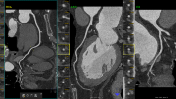
Kardiale Bildgebung
Jahrelang galt die Herzkatheteruntersuchung als das Nonplusultra zur Beurteilung der Herzkranzgefäße. Bezogen auf die Einwohner eines Landes ist Deutschland diesbezüglich Weltmeister. Und dennoch: Im Vergleich mit anderen westeuropäischen Ländern landet Deutschland bei der durchschnittlichen Lebenserwartung weit hinten. Der Grund: Im Kampf gegen Herz-Kreislauf-Erkrankungen, der häufigsten Todesursache, ist Deutschland deutlich weniger erfolgreich als andere Länder.
Es stellt sich also die Frage: Bekommen unsere Patienten die passende Diagnostik? Denn mittels geeigneter Diagnostik kann man die richtige Behandlung veranlassen. Viele Fragen lassen sich heute nicht-invasiv mittels kardialer Bildgebung (Kardio-CT & Kardio-MRT) beantworten und so eine individualisierte Therapie für unsere Patienten ableiten.
In Zusammenarbeit mit der Abteilung für Radiologie bieten wir ihnen das komplette Spektrum moderner kardialer Schnittbildgebung. Vereinbaren Sie einen Termin mit unseren Experten.
Interventionelle Therapie der koronaren Herzerkrankung (KHK)
„Leave Nothing Behind“: Moderne Kardiologie ohne bleibendes Metall
Der Stent: Ein Meilenstein mit biologischem Preis
Seit Jahrzehnten ist die Implantation eines Stents der Goldstandard bei der Behandlung der koronaren Herzkrankheit (KHK). Ob bei einem akuten Herzinfarkt oder bei chronischen Beschwerden wie Angina Pectoris: Stents halten die Gefäße offen, verbessern die Belastbarkeit und erhöhen die Lebensqualität signifikant.
Doch so erfolgreich diese Technik ist, sie hat eine biologische Konsequenz: Der Stent ist ein permanenter Fremdkörper aus Metall. Auch bei Verwendung modernster, medikamentenfreisetzender Stents der zweiten Generation verbleibt das Gerüst lebenslang im Körper. Dies birgt langfristige Risiken:
- Das Risiko des Stentversagens: Statistisch gesehen liegt das Risiko für Komplikationen im behandelten Bereich (sog. Target Lesion Failure) im ersten Jahr bei etwa 5 % und steigt in den Folgejahren jährlich um weitere 2 bis 4%.
- Gefäßstarrheit: Ein Stent „schient“ das Gefäß starr. Die natürliche Fähigkeit der Arterie, sich zu weiten oder zusammenzuziehen (Vasomotion), geht an dieser Stelle verloren.
- Spätkomplikationen: Es kann zu plötzlichen Verschlüssen (Stenthrombosen) oder schleichenden Wiederverengungen (In-Stent-Restenose) kommen, die erneute Eingriffe notwendig machen.
Leave Nothing Behind“ – Die nächste Stufe der interventionellen Kardiologie
Die medizinische Forschung bleibt nicht stehen. Unser Ziel im Klinikum Freising ist es, die Vorteile der Kathetertechnik zu nutzen, ohne die Nachteile eines dauerhaften Implantats in Kauf nehmen zu müssen, wo immer dies möglich ist.
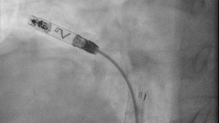
Hier setzen medikamentenbeschichtete Ballons (Drug-Coated Balloons, DCB) der neuesten Generation an. Das Prinzip „Leave Nothing Behind“ (Nichts zurücklassen) folgt einem eleganten biologischen Ansatz:
- Präzise Vorbereitung: Die Engstelle im Herzkranzgefäß wird zunächst vorsichtig mit Spezialballons gedehnt und vorbereitet.
- Gezielte Therapie: Ein hochmoderner Ballon, der mit einem speziellen Wirkstoff beschichtet ist, wird an der Stelle der Ablagerung (Plaque) kurzzeitig aufgeblasen. Das Medikament tritt in die Gefäßwand über und verhindert dort aktiv die Zellneubildung, die zu einer erneuten Verengung führen würde.
- Restlose Heilung: Der Ballon wird nach der Behandlung wieder vollständig entfernt. Was bleibt, ist ein offenes, elastisches Gefäß, das aus eigener Kraft heilen kann.
Interventionelle Therapie der Lungenembolie
Bei einer schweren Lungenembolie ist schnelles Handeln entscheidend, um das Herz zu entlasten. Wenn Medikamente allein nicht ausreichen oder das Blutungsrisiko für eine systemische Lyse zu hoch ist, setzen wir moderne, kathetergestützte Verfahren ein, um die Lungengefäße mechanisch oder lokal-medikamentös zu befreien:
- Gezielte Applikation von Lyse-Medikamenten direkt in den Thrombus über spezielle Katheter.
- EKOS-Verfahren: Zusätzliche Nutzung von Ultraschallwellen zur Auflockerung des Gerinnsels für eine effizientere Wirkstoffaufnahme. Deutlich geringere Blutungsgefahr im Vergleich zur systemischen Infusion durch niedrigere Dosierung.
Interventioneller Verschluss des Vorhofohrs
Für Patienten mit Vorhofflimmern, die ein hohes Blutungsrisiko unter klassischen Blutverdünnern aufweisen, bietet der Vorhofohrverschluss eine sichere und effektive Alternative zur Schlaganfallprävention. Das Ziel ist es, die Quelle potenzieller Blutgerinnsel dauerhaft auszuschalten:
- Schlaganfallprävention: Alternative zur oralen Antikoagulation bei Patienten mit Vorhofflimmern und hohem Blutungsrisiko.
- Device-Implantation: Ein Schirmchen (z. B. Watchman oder Amulet) wird perkutan über die Leiste im linken Vorhofohr platziert.
- Verschlussmechanismus: Verhindert die Thrombenbildung im Reservoir des Vorhofohrs.
Interventioneller Verschluss bei Vorhofseptumdefekt
Angeborene Öffnungen in der Herzscheidewand können den Blutfluss beeinträchtigen oder ein Risiko für Schlaganfälle darstellen. Mit minimalinvasiven Techniken verschließen wir diese Verbindungen sicher und dauerhaft, um die Herzfunktion zu schützen und Folgeschäden zu vermeiden:
- PFO (Persistierendes Foramen Ovale): Verschluss einer tunnelartigen Verbindung zwischen den Vorhöfen zur Vermeidung paradoxer Embolien (kryptogener Schlaganfall).
- ASD (Atriumseptumdefekt): Verschluss eines echten Gewebedefekts in der Vorhofscheidewand bei relevanter Volumenbelastung des rechten Herzens.
- Occluder-Technik: Einsatz von Doppelschirm-Systemen (Amplatzer o.ä.), die sich von beiden Seiten an das Septum anlegen.
Interventionelle Therapie der Mitralklappeninsuffizienz (Carillon-Mitral-Contour-System)
Zur Behandlung einer undichten Mitralklappe nutzen wir moderne, kathetergestützte Verfahren, um die Schlussfähigkeit der Klappe zu verbessern. Dies entlastet das Herz und steigert die körperliche Belastbarkeit:
- Das spezialisierte Carillon-Mitral-Contour-System wird besonders schonend über das Venensystem und den Koronarsinus eingebracht, der anatomisch unmittelbar an der Klappe vorbeiführt. Durch kontrollierten Zug am System wird der Durchmesser des Anulus mechanisch verkleinert. Diese Raffung bringt die Klappensegel wieder näher zusammen und verbessert den Klappenschluss - ganz ohne große Operation am offenen Herzen. Der Eingriff erfolgt minimalinvasiv über das Venensystem. Das Herz muss nicht angehalten werden, und es ist kein großer Brustschnitt nötig. Da das Verfahren den Körper kaum belastet, sind Sie in der Regel schon kurz nach dem Eingriff wieder mobil und können das Krankenhaus schnell verlassen. Das System ist so konzipiert, dass andere, eventuell später notwendige Behandlungen am Herzen weiterhin uneingeschränkt möglich bleiben. Ziel ist die mittelfristige Verbesserung der Herzfunktion (sog. positives Remodelling).
Interventionelle Behandlung von Aortenklappenstenosen
Der kathetergestützte Aortenklappenersatz (TAVI) ist ein etabliertes, schonendes Verfahren zur Behandlung einer verengten Aortenklappe. Es ermöglicht Patienten, für die eine klassische Herzoperation ein zu hohes Risiko darstellt, eine sichere und effektive Therapie:
- Kathetergestütztes Verfahren: Ersatz der verengten Aortenklappe ohne Eröffnung des Brustkorbs (meist transfemoral).
- Klappentypen: Einsatz von selbst-expandierenden oder ballon-expandierbaren Bioprothesen je nach Anatomie.
- Kooperation mit der München Klinik Bogenhausen: Enge Abstimmung zwischen Kardiologie und Herzchirurgie.
Chest Pain Unit (CPU)
Plötzliche Brustschmerzen – oft verbunden mit Engegefühl, Atemnot oder Schwindel – können auf einen akuten Herzinfarkt hinweisen und sind ein akuter medizinischer Notfall. In dieser Situation zählt jede Minute. Damit Betroffene sofort die bestmögliche Versorgung erhalten, arbeiten Notärztinnen und Notärzte, unsere Zentrale Notaufnahme (ZNA), die kardiologische Diagnostik sowie die Stationsteams eng und nach definierten Standards zusammen. So kann schnell entschieden und, wenn nötig, umgehend eine lebensrettende Therapie eingeleitet werden.
Mit der Zertifizierung zur Chest Pain Unit (CPU) durch die Deutsche Gesellschaft für Kardiologie (DGK) bietet das Klinikum Freising den höchsten Qualitätsstandard bei der Versorgung von Patientinnen und Patienten mit unklarem Brustschmerz. Die CPU befindet sich im 1.Stock des Klinikums.

DGK-Zertifikat Chest Pain Unit
Mehr zur Gründung der Chest Pain Unit des Klinikums Freising im März 2021
Therapie bradykarder Rhythmusstörungen
Ein zu langsamer Herzschlag (Bradykardie) kann Schwindel, Leistungsabfall oder Bewusstlosigkeit verursachen. Wenn das natürliche Taktgebersystem des Herzens nicht mehr zuverlässig arbeitet, sorgt ein moderner Herzschrittmacher für Sicherheit.
Je nach individueller Ursache der Rhythmusstörung kommen unterschiedliche Systeme zum Einsatz, um die natürliche Herzfunktion optimal zu unterstützen:
- Einkammer-Herzschrittmacher: Ein System mit einer Elektrode, das meist im rechten Vorhof oder der rechten Herzkammer stimuliert.
- Zweikammer-Herzschrittmacher: Über zwei Elektroden werden Vorhof und Kammer koordiniert, um den natürlichen Rhythmus präzise nachzubilden.
- Dreikammer-Herzschrittmacher (CRT-P): Spezielle Systeme zur Resynchronisationstherapie, die beide Herzkammern gleichzeitig stimulieren, um die Pumpleistung bei Herzschwäche zu verbessern.
- Leadless Pacer (Sondenlose Schrittmacher): Die innovative „Schrittmacher-Kapsel“ wird direkt im Herzen platziert. Da das System völlig ohne Sonden auskommt, ist ein Sondenbruch technisch ausgeschlossen. Dies macht die Kapsel besonders wertvoll für aktive Patienten, bei denen mechanische Belastungen durch Sport oder Bewegung herkömmliche Sonden beanspruchen könnten. Ohne chirurgische Hauttasche bietet sie höchsten Komfort (keine sichtbaren Narben) und eine lange Batterielaufzeit. Sie ist die ideale, langlebige Lösung für Patienten mit hohem Infektionsrisiko, schwierigen Venenverhältnissen oder einem sehr bewegungsreichen Lebensstil.
Therapie tachykarder Rhythmusstörungen
Bei Herzrasen oder lebensbedrohlich schnellen Rhythmusstörungen bieten wir spezialisierte Verfahren zur präzisen Diagnose und dauerhaften Behandlung an. Ziel ist es, die normale Herzfrequenz wiederherzustellen und das Risiko für den plötzlichen Herztod zu minimieren.
- Diagnostische EPU: Elektrophysiologische Untersuchung mittels Katheter zur genauen Lokalisation (mittels hochauflösendem 3D-Mapping) und Analyse der Ursache des Herzrasens.
- Katheterablation: Gezielte Verödung des störenden Gewebes, um die Rhythmusstörung dauerhaft zu heilen.
- Alle Formen der Defibrillatoren, inkl. S-ICD (Subkutaner Defibrillator): Ein implantierbares System zum Schutz vor dem plötzlichen Herztod, bei dem die Elektrode unter der Haut und nicht im Herzen liegt – ideal für junge Patienten oder bei hohem Infektionsrisiko.
Elektrophysiologische Untersuchungen (EPU)
Schlägt Ihr Herz manchmal aus dem Takt? In unserer Fachabteilung für Elektrophysiologie (EPU) am Klinikum Freising dreht sich alles darum, den natürlichen Rhythmus Ihres Herzens wiederherzustellen. Wenn elektrische Impulse im Herzen nicht richtig fließen, entstehen Rhythmusstörungen – wir helfen Ihnen dabei, die Ursache zu finden und gezielt zu behandeln.
Unser Behandlungsschwerpunkt: Vorhofflimmern
Vorhofflimmern ist die häufigste Herzrhythmusstörung in Deutschland und betrifft etwa jeden fünften Herzpatienten. Betroffene verspüren oft ein unangenehmes Herzstolpern oder Herzrasen, das die Leistungsfähigkeit im Alltag einschränkt. Mithilfe moderner elektrophysiologischer Verfahren können wir die Auslöser im Herzen präzise lokalisieren und behandeln. Unser Ziel ist es, Ihnen durch eine individuelle Therapie wieder mehr Sicherheit und Lebensqualität zu schenken.
Spezialisierte Hilfe bei Herzrasen und Rhythmusstörungen
Neben dem Vorhofflimmern behandeln wir das gesamte Spektrum an Herzrhythmusstörungen:
- Supraventrikuläre Rhythmusstörungen: Hierbei handelt es sich um Störungen, die ihren Ursprung in den Herzvorhöfen haben. Sie äußern sich oft durch plötzlich einschießendes, schnelles Herzjagen.
- Ventrikuläre Rhythmusstörungen: Diese Störungen entstehen in den Herzkammern. Da sie potenziell ernster sein können, ist hier eine schnelle und exakte Diagnostik besonders wichtig, um Ihr Herz langfristig zu schützen.
Durch den Einsatz modernster Herzkatheter-Technologie bieten wir Ihnen Therapien an, die besonders schonend und effektiv sind. Wir nehmen uns die Zeit, die für Sie passende Behandlungsform zu finden, damit Sie sich in Ihrem Alltag wieder ganz auf Ihr Herz verlassen können.
Behandlungsbegleitende Beratung
In enger Zusammenarbeit mit den niedergelassenen kardiologischen Praxen sowie den Hausärztinnen und Hausärzten bieten wir für ausgewählte kardiologische Fragestellungen – wie chronische Koronarverschlüsse oder Herzklappenerkrankungen – eine ergänzende fachärztliche Beratung an. Eine telefonische Anmeldung über die Rufnummer 08161 24-4303 ist nach Rücksprache mit Ihrer behandelnden Ärztin oder Ihrem behandelnden Arzt möglich.
Vor geplanten Herzkatheteruntersuchungen sowie Schrittmachereingriffen stehen wir Ihnen zudem im Rahmen einer ambulanten Spezialsprechstunde für eine ausführliche Aufklärung zur Verfügung.
Das Leitungsteam der Kardiologie & Pneumologie
Chefarzt
Dr. Roland Brückl
Facharzt für Innere Medizin und Kardiologie
Zusatzqualifikation: Interventionelle Kardiologie
Leitender Oberarzt
Dr. Jannis Wagner
Facharzt für Innere Medizin und Kardiologie
Zusatzbezeichnungen: Notfallmedizin, Internistische Intensivmedizin
Zusatzqualifikationen: Kardiovaskuläre Intensiv- und Notfallmedizin (DGK), Kardiale Computertomographie (DGK), Interventionelle Kardiologie (DGK), Herzinsuffizienz (DGK)
Kontakt und Terminvereinbarung
Sekretariat
Christine Thalmeier & Verena Brunnhuber
Telefon: 08161 24 - 4303
Fax: 08161 24 - 3613
E-Mail: kardiologie(at)klinikum-freising.de
Lage: Sie finden uns in der internistischen Chefarztspange im EG des Klinikums
Auskunft und Terminvereinbarungen
- Montag bis Donnerstag: 8.00-16.00Uhr
- Freitag: 8.00-14.00Uhr
Erreichbarkeit Stationsärzte / Stationsärztinnen:
Für Angehörige unserer Patientinnen und Patienten stehen unsere Stationsärztinnen und -ärzte von Montag bis Freitag, jeweils von 15:00 bis 15:45 Uhr, gerne für persönliche Auskünfte zur Verfügung.
Den diensthabenden Internisten in der Internen Notaufnahme erreichen Sie unter der Telefonnummer 08161 24 - 5350.